Aesthetic Dentistry at Dr. Sayyad’s Smile Dental Clinic
Because a beautiful smile is more than just teeth — it’s confidence.
At Dr. Sayyad’s Smile Dental Clinic, our dentists specialize in Aesthetic (Cosmetic) Dentistry that enhances the natural beauty of your smile while maintaining perfect oral health. With best advanced technology, artistic precision, and years of clinical experience, we create smiles that look natural, balanced, and confident.
So, whether you're looking for a complete smile makeover or a simple enhancement, our team is here to help.
What is Aesthetic Dentistry?
Aesthetic dentistry focuses on improving the appearance of teeth, gums, and smile. It combines dental science with artistic design to correct issues like stains, gaps, uneven teeth, chipped teeth, or an unbalanced smile. Our goal is simple: A smile that looks natural, healthy, and suits your personality.
Our Aesthetic Dentistry Services
- Smile Designing: A personalized smile makeover planned after analyzing your facial features, lip line & smile line, and tooth shape, size & color. We digitally plan your smile before starting treatment so you can preview your new smile.
- Teeth Whitening (Bleaching): Safe & professional in-clinic whitening. Removes stains from tea, coffee, smoking & ageing. Instantly brighter smile in a single visit.
- Dental Veneers & Laminates: Ultra-thin porcelain or composite shells that correct discoloration, gaps, chipped or irregular teeth. Natural, long-lasting & minimally invasive.
- Tooth-Coloured Fillings & Bonding: Repairs cavities and minor cracks invisibly. Matches your natural tooth shade. Restores both beauty and strength.
- Gum Aesthetics (Gum Contouring): Corrects gummy smiles. Improves gum shape & symmetry. Creates perfect balance between teeth & gums.
- Aesthetic Crowns & Implants: Natural-looking crowns and implant restorations. Designed to match your smile perfectly. Strong, functional & beautiful.
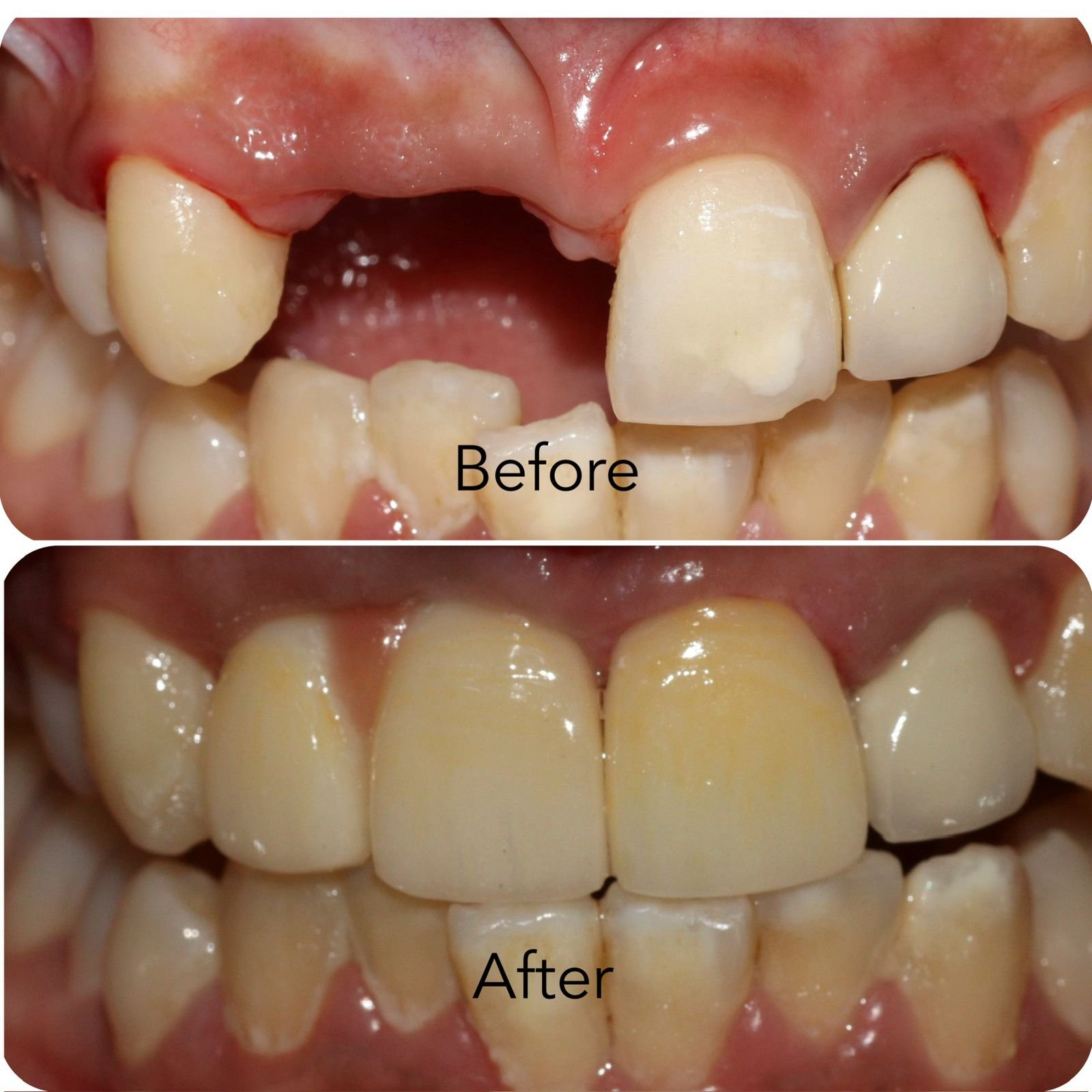
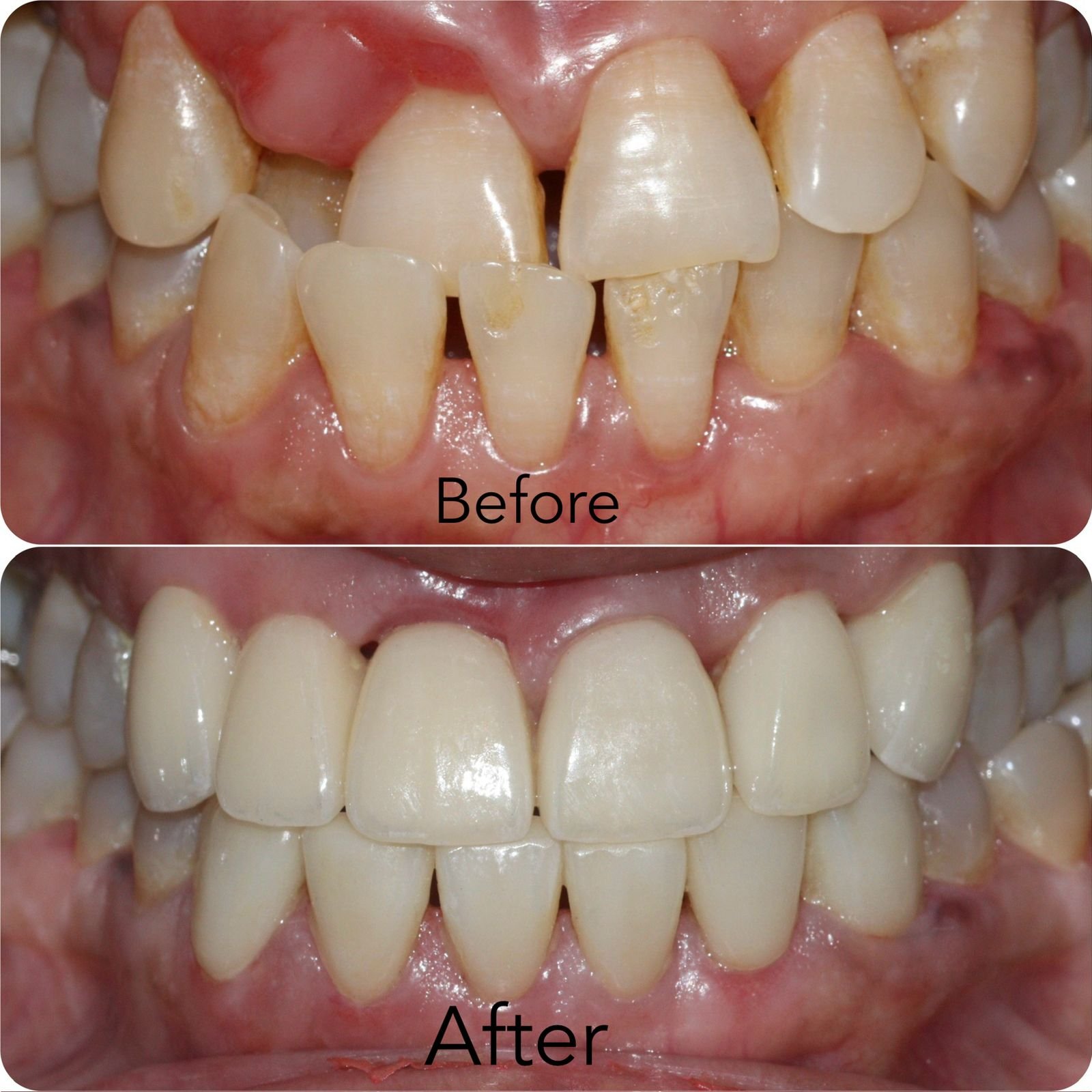
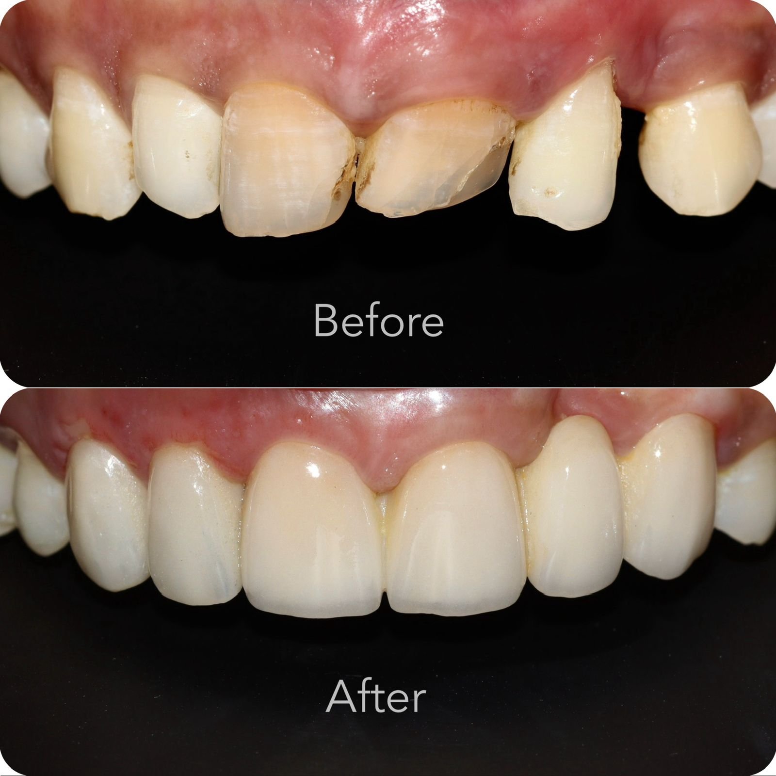
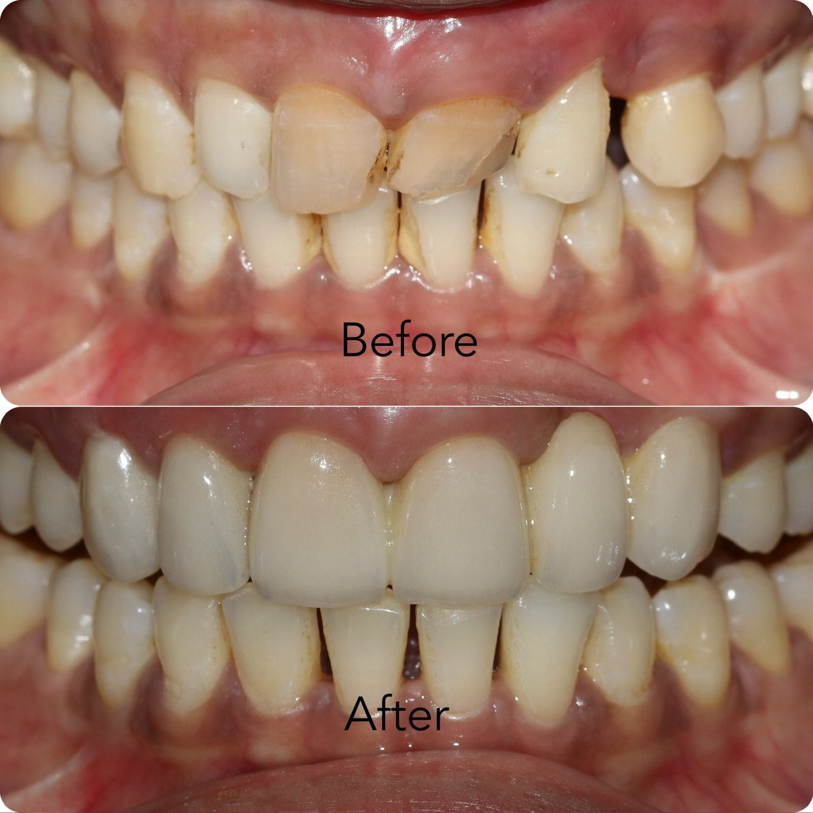
Before & After Smile Transformations
Why Choose Dr. Sayyad’s Smile Dental Clinic?
- 15+ years of clinical experience
- Skilled dentists with expertise in aesthetic & implant dentistry
- Advanced digital smile planning
- High-quality materials & global standards
- Ethical, transparent & patient-centric care
- Thousands of happy smiles created
Who Can Benefit from Aesthetic Dentistry?
- Yellow or stained teeth
- Gaps between teeth
- Broken, chipped or worn teeth
- Uneven or misaligned teeth
- Gummy smile
- Anyone who wants a more confident smile
Your Smile Makeover Journey
- Smile analysis & consultation
- Digital smile design & treatment planning
- Mock-up / trial smile (if needed)
- Precision treatment with comfort
- Long-lasting, natural results
Cost & Financing Options
Smile Enhancement & Cosmetic Procedures
| Composite Restorationd (Per Tooth) | ₹3,000 – ₹5,000 |
| Composite Veneers (Per Tooth) | ₹4,000 – ₹5,000 |
| Tooth Veneers Porcelain / Ceramic Veneers (Per Tooth) |
₹10,000 – ₹18,000 |
| Premium long-lasting aesthetic Dental Crowns (Ceramic / Zirconia) |
₹7,000 – ₹15,000 |
